主诉:患者老年男性,以“咳嗽咳痰2年余,加重伴胸闷气短2个月”为主诉入院。 现病史:患者近2年前无明显诱因出现咳嗽咳痰,未系统治疗,2个月前无明显诱因咳嗽咳痰症状加重,咳白痰,伴胸闷气短,无发热,无咯血及胸痛,夜间可平卧,无夜间憋醒现象,就诊于当地中心医院,完善胸部CT示:双侧肺纹理增多紊乱,双肺多发索条及网格影,双侧肺门不大,纵膈居中,其内未见肿大淋巴结,未治疗;10天前就诊于沈阳胸科医院,诊断为双肺间质性肺炎,予开林抗感染治疗后症状稍好转,今为求进一步治疗入我科。 患者病来无盗汗,无乏力,无头晕头痛,无咯血及胸痛,无腹痛腹胀,无反酸烧心,无恶心呕吐,饮食睡眠可,大小便正常,体重未见明显下降。






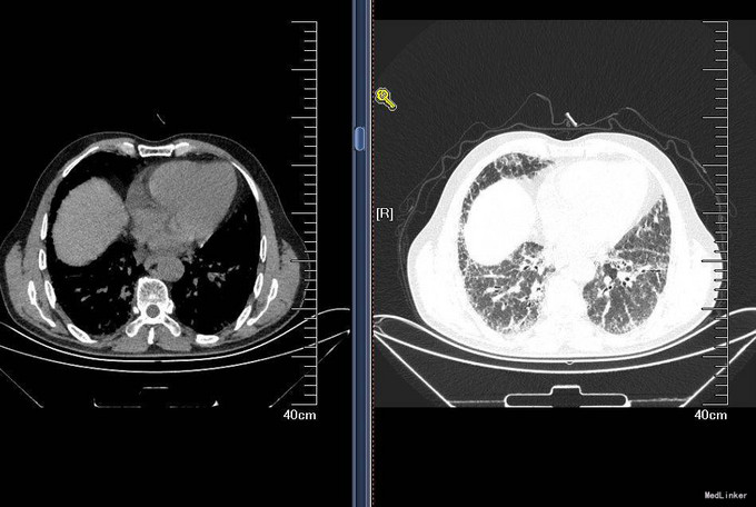
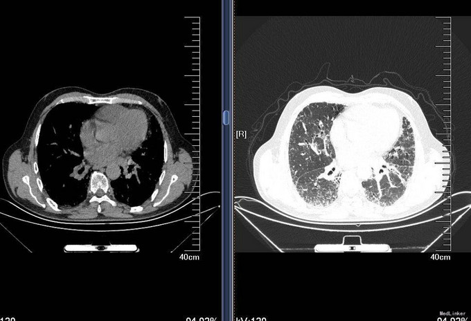
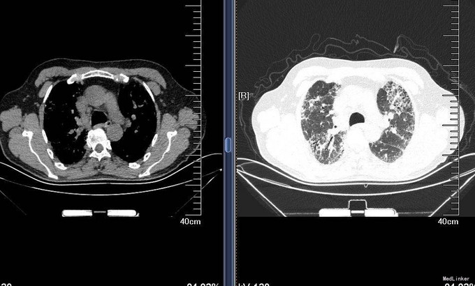
查体:T36.5℃,P 80次/分,R 18次/分,BP 120/80mmHg,神清语明,查体合作,周身皮肤无黄染及出血点。巩膜无黄染,结膜无苍白,球结膜无水肿,口唇无发绀,颈静脉无充盈,颈部浅表淋巴结未触及。双肺呼吸音粗,未闻及干湿性啰音,心音钝,律齐,各瓣膜听诊区未闻及病理性杂音。腹平软,无压痛,无反跳痛及肌紧张,未触及包块。肝肋下未触及,双肾区无扣痛,移动性浊音阴性。双下肢无水肿。 入院后完善肝肾功离子,血气分析,血常规,CRP,支原体抗体,肺通气功能,弥散功能等检查,检验回报:血常规:白细胞计数 9.710^9/L;中性粒细胞百分比 46.8%;红细胞计数 4.6810^12/L;血红蛋白 148g/L;血小板计数 21310^9/L;CRP:C-反应蛋白 <3.28mg/L;肺炎支原体抗体:肺炎支原体抗体 阴性(-); 肺通气功能:FEV1/FVC:90,%Pre:78%,混合性通气功能障碍,以限制为主;支气管舒张试验试验:支气管舒张试验阴性,FEV1改善率1%,增加30ml;弥散功能:总弥散量中度下降,单位弥散量正常;胸部HRCT:双肺弥漫性间质性肺炎。 双侧胸膜局部增厚。
治疗上予患者II级护理,普食;头孢曲松静点联合拜复乐片口服抗感染治疗,复方福尔可定联合羧甲斯坦口服止咳化痰,开顺+沙丁胺醇+普米克令舒雾化止咳平喘 诊断 : 间质性肺疾病合并感染;
常见病因: 1)长期吸入无机粉尘,如在煤矿工作;接触石棉;吸入有害气体; 2)吸入有机粉尘,如养殖蘑菇,饲养宠物(如鸽子、鹦鹉等),接触发霉的谷物、干草等;空调或湿化器遭到污染; 3)长期服用以下药物:如胺碘酮、甲氨蝶呤、化疗药等; 4)急慢性肺感染:如血行播散性肺结核、肺孢子菌肺炎、病毒性肺炎等; 5)慢性心脏疾患导致的肺间质水肿; 6)与类风湿性关节炎、干燥综合征、多发性肌炎、系统性红斑狼疮、硬皮病等自身免疫疾病和血管炎相关的间质性肺炎; 7)肿瘤相关,如肺泡癌、癌性淋巴管炎、淋巴瘤等; 8)大多数肺纤维化患者的病因不明。在原因不明的肺纤维化中,最常见的是特发性间质性肺炎,包括特发性肺纤维化(简称IPF),隐源性机化性肺炎(COP),非特异性间质性肺炎(NSIP),脱屑性间质性肺炎(DIP),呼吸性细支气管炎性间质性肺疾病(RB-ILD),淋巴细胞性间质性肺炎(LIP)和急性间质性肺炎(AIP),其中最常见的是特发性肺纤维化。“特发”的意思是“病因不明”。