主诉:渐起头晕12余天,精神行为异常3天。 现病史:12天前患者无明显诱因出现持续性头晕,为昏昏沉沉感,无视物旋转、耳鸣、耳聋,进行性加重,6天前出现间断性恶心、呕吐,呕吐物为胃内容物,非喷射状,至湖北省某医院门诊就诊,头颅CT未见明显异常,治疗后(具体不详)症状未见明显好转,3天前出现精神行为异常,自诉耳边一直听到各种音乐及小孩说话声音,自觉紧张、焦虑,今晨7时至我院途中,突发不能言语,感觉嘴巴不受控制,牙齿变形,时间持续十分钟,突发大哭,时间持续3分钟后,再次不言语,至我院后,自行好转,可言语,自诉有声音说神来保佑她,或者有人要害她,以“精神行为异常原因待查:癔症?”收入我院临床心理科,起病以来,患者精神差,大小便如常,睡眠差。体力体重未见明显改变。
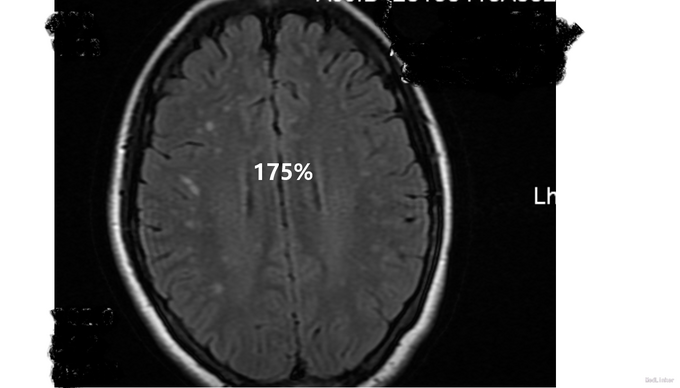
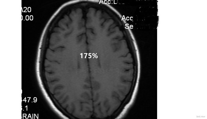
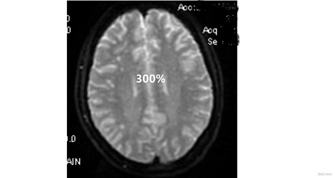
查体:生命体征平稳,心律齐,未闻及病理性杂音,双肺呼吸音清,未闻及干湿罗音。腹软,无压痛及反跳痛,肝脾肋下未及,双下肢不肿。3月21日神经系统检查:意识清楚,回答问题有时不切题,记忆力下降,定向力可,存在幻听,双侧瞳孔等大等圆,光反射灵敏,双侧鼻唇沟对称,伸舌居中,四肢肌力、肌张力、腱反射正常,病理征未引出。颈软,Kernig征阴性,Brudzinski征阴性。3月26日神经系统检查:意识模糊,不能言语,查体不能配合,双侧瞳孔等大等圆,直径约3mm,双侧光反射均迟钝,眼球活动不配合,双侧鼻唇沟尚对称,伸舌不能配合,双上肢肌张力高,四肢肌力查体不配合,可见自主活动,肌力在3级以上。病理征阴性,左侧趾反射弱,疼痛刺激反应减弱,颈强2指,Kernig征双侧阳性,Brudzinski征阴性。 脑脊液检查示:3月26日脑脊液检查:Pro 0.3g/L WBC 48 *10^6抗酸、墨汁染色均为阴性。脑脊液抗NMDA抗体IgG阳性,血抗NMDA抗体IgG 阳性,颅脑MRI平扫+flair+DWI:双侧额颞顶叶皮层下多发异常信号。肿瘤标志物检测(—)。我院子宫肌附件B超提示:右侧卵巢囊肿。



诊断:自生免疫性脑炎:抗NMDA受体脑炎 治疗:在临床心理科予以希德片/阿普唑仑、安律凡片等对症治疗后,患者病情无好转,胡言乱语,3月24日突发无言语,紧抓他人衣服,两眼发直,伴尿失禁,时间持续5分钟自行好转,夜间有行为异常(双手持续不停做扔垃圾动作),3月25日出现神志不清,双眼右侧凝视,口唇发紫,流涎,请神经内科会诊后,考虑脑炎可能,转神经内科进一步治疗,入我科后反复癫痫发作,病情加重,浅昏迷,予以抗癫痫治疗(丙戊酸钠、卡马西平、左乙拉西坦片)、丙种球蛋白、甲基强的松龙,神经保护剂(醒脑静、神经节苷脂)等,治疗一月后病情逐渐好转,至出院时神志清楚,智能、记忆力差,四肢肌力为4级。
随访:出院后继续服用激素(美卓乐)、卡马西平、左乙拉西坦片、奥拉西坦药物,患者进一步好转,记忆力及计算能力恢复,生活自理,未见癫痫发作。