主诉:上腹部胀痛伴恶心呕吐5天,高热乏力1天 病史:患者5天前饮酒后出现上腹部胀痛,向背部放射,伴恶心,呕吐胃内容物。自诉曾畏寒、晕厥。自行恢复意识后急诊送外院治疗。诊断为急性重症胰腺炎,入院后出现低热,予禁食、胃肠减压、抑酸护胃、抗感染、抑酶等治疗后好转,但仍有腹胀、发热。1天前患者突发高热,最高体温40摄氏度。伴四肢乏力。为进一步治疗转入我院。
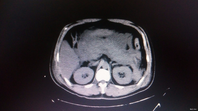
查体:腹部膨隆,全腹压痛反跳痛,四肢无力。体温39。8摄氏度,心率110左右,血压110/70mmHg。 辅助检查:入院后急查提示淀粉酶126,脂肪酶185.5,血钾2.02,钠172.9,钙1.76。腹部CT提示双下肺炎症,双侧胸腔少量积液。胰腺符合急性胰腺炎改变。

诊断:急性重症胰腺炎,低钾血症。 处理:立即予抑酸护胃,心电监护,奥曲肽抑制胰酶,静滴补钾,调整内环境、抗感染。夜间患者体温一直持续在39-40摄氏度之间,予冰敷、擦浴、柴胡、地米等降温,效果均欠佳。第二天晨患者突发神志不清,查血钾1.9,血钠180.4。请ICU急会诊,后患者血压下降,约60/30mmHg,血氧饱和度80%,并发生室上速。请麻醉科急会诊插管。多巴胺及去甲肾上腺素维持血压。10分钟后患者突发室颤,血压测不出。予胸外按压、球囊吸氧、除颤仪除颤等抢救,患者一度恢复窦性心律,但难以维持,持续约1min后再次室颤。反复多次。最终抢救50min后患者心电图呈直线,宣布临床死亡。死亡原因:急性重症胰腺炎、感染性休克、室颤。
讨论:急性重症胰腺炎是我们科里相当危重的疾病之一。以往只是在书上看到说危重,正真亲身经历过才体会到这种危险程度。病情变化十分迅速。考虑为胰腺大片坏死,引起感染性休克,并内环境紊乱。最后血压及心律难以维持。以后遇到急性重症胰腺炎要高度谨慎,随时检测患者病情变化