下载或打开 医联APP 查看完整评论
立即下载
打开APP
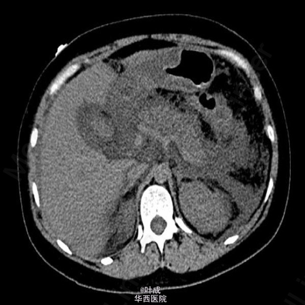
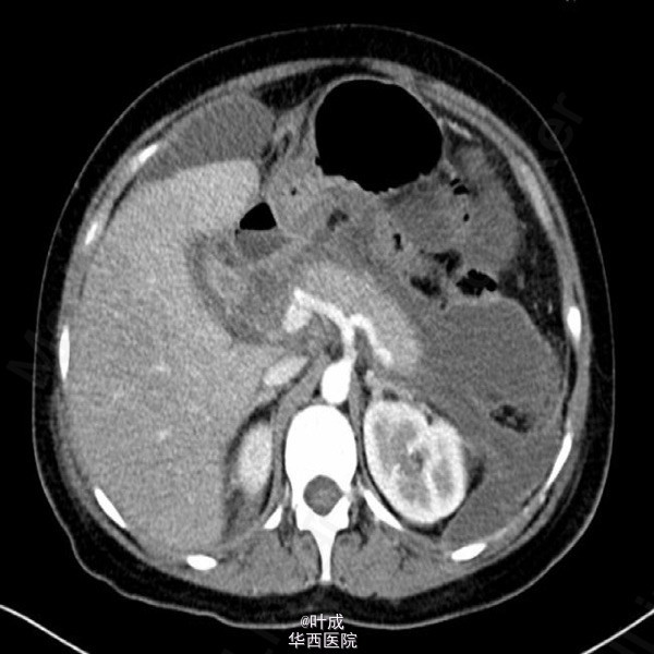
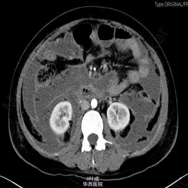
患者女,39岁,因“腹痛2天”入院。患者既往否认胆道疾病病史。入院查体:T:36.5oC,P:130次/分,R:28次/分,BP:135/85mmHg,BMI=25kg/m2。心肺查体无特殊。腹部饱满,全腹肌紧张,上腹压痛,无反跳痛,腹部未触及包块。肝脾肋下未触及。辅助检查:血清淀粉酶 827 IU/L,脂肪酶 720IU/L;血常规:血红蛋白 193g/L,白细胞 8.02*10^9/L,中性粒 80.2%;血甘油三酯 20.33mmol/L,胆固醇 10.80mmol/L;血钙 1.54mmol/L;胸腹部平扫CT示:胰腺肿胀,实质密度不均匀减低,周围脂肪间隙模糊,散在渗出积液影,腹、盆腔、双侧胸腔积液,肺部感染(图2);腹部超声提示脂肪肝,肝内外胆管未见扩张。入院APACHE II评分13分。入院诊断:急性胰腺炎(重度 高脂血症型),肺部感染)。入院后予禁食,控制补液,奥曲肽抑制胰腺分泌,埃索美拉唑抑酸,导泻,加贝酯抑制胰酶,哌拉西林舒巴坦抗感染,维持电解质平衡,补充丙氨酰谷氨酰胺等治疗。患者腹痛症状逐渐缓解,每日出入量大体平衡,但腹胀、气紧症状逐渐加重,沟通后予无创呼吸机辅助通气(中途尝试停用未遂,共使用13天),期间血气分析血氧分压变化见图1(期间存在误采静脉血可能)。患者气紧较前缓解,仍有腹胀,纳差,肛门排期排便可,复查腹部增强CT:胰腺未见明显坏死灶,与之前比较,腹腔积液增多,部分包裹,炎症累及区域脂肪密度降低。双侧胸腔少量积液并双下肺局部肺不张(图3-4);复查甘油三酯 3.63 mmol/L,血清白蛋白>40g/L。治疗上逐步加强肠内营养,予螺内酯利尿,患者腹胀较前有所缓解。



