打开应用

急性胰腺炎收治系列(病因)

叶医师   四川大学华西医院
胰腺炎 急性胰腺炎

主诉 病史

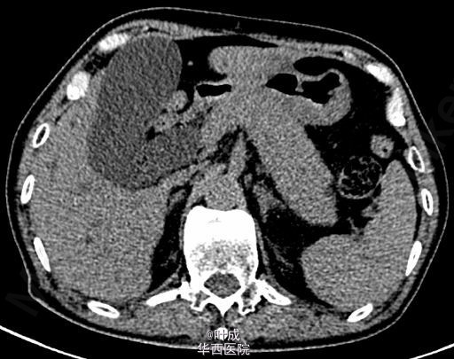
患者男,75岁,因“反复右上腹疼痛3+年,加重10天”入院,急诊查血清淀粉酶 530 IU/L,脂肪酶 466 IU/L,总胆红素 151.6 umol/L,直接胆红素 136.2 umol/L;腹部CT示胰腺肿胀,肝内外胆管扩张,胆囊结石(图1-2)。予对症处理同时行ERCP,见十二指肠主乳头肿大(图3),造影示胆总管增粗,胆道未发现结石。

发布于 14-12-19 22:35

1 个评论

发送