打开应用

急性胰腺炎收治系列--急性重症胰腺炎

叶医师   四川大学华西医院
急性胰腺炎

主诉 病史

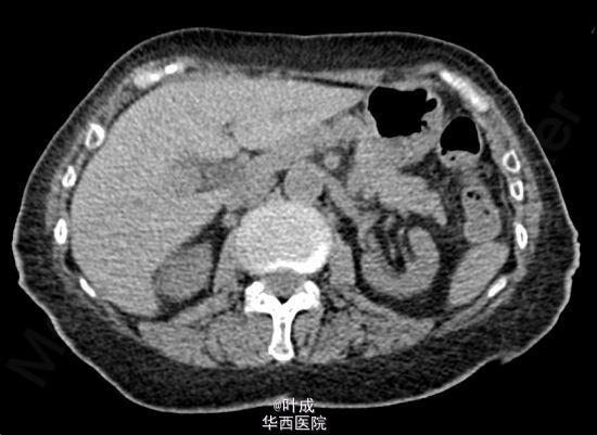
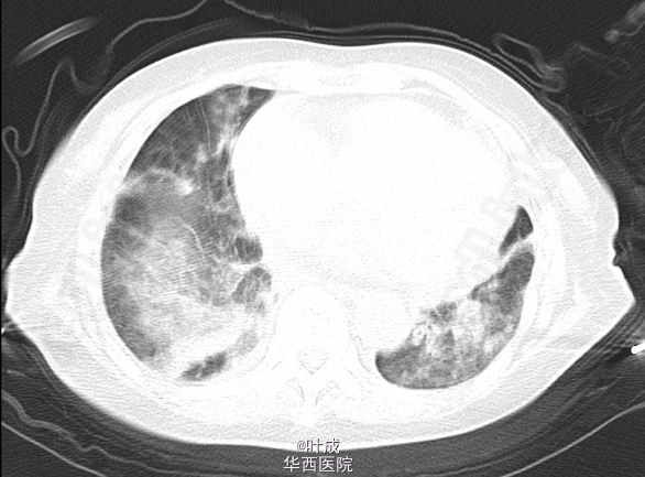
患者女,80岁,因“腹胀、呕吐1-天”入院。呕吐10+次,伴背痛。既往发现血压升高10年,最高180/100mmHg,药物控制一般;发现血肌酐升高3年,目前行规律血液透析(biw)。入院查体T:36.5oC,P:85次/分,R:22次/分,BP:186/76mmHg。神志清楚,心界向左扩大,心律齐。双肺呼吸音粗,散在湿罗音。全腹软,无明显压痛及反跳痛,腹部未触及包块。双下肢轻度水肿。辅助检查:血常规:Hb 109 g/L,WBC 12.51 10^9/L,N 10.65 10^9/L;血生化:ALT 61 IU/L,AST 239 IU/L,肌酐 585.0 umol/L,淀粉酶 428 IU/L,脂肪酶 998 IU/L,胆红素、电解质未见异常;心肌标志物示:肌钙蛋白-T 82.1 ng/L,尿钠素 >35000 pg/ml。CT示:胆囊炎,胰腺形态改变,胰周渗出,双肺散在条索、斑片、磨玻璃影及实变影,双侧胸膜增厚,双侧胸腔少量积液,心脏长大,心包少量积液(图1-2)。 入院诊断:1、急性胰腺炎(中度 原因?) 2、高血压病III级 极高危组 心脏长大 3、慢性肾功能不全(尿毒症期) 4、肺部感染 5、胆囊炎。 患者入院时一般情况可,于当日夜间感心累、气紧,拒绝面罩吸氧,后突发呼吸、心跳骤停,立即行胸外心脏按压,予血管活性药物及呼吸兴奋剂,请麻醉科会诊行气管插管有创呼吸机辅助通气,予镇静、镇痛、控制血压、纠正酸碱失衡等对症处理。患者恢复窦性心律,镇静下有创呼吸机人机配合可。反复沟通后,患者家属拒绝转ICU并签字。住院期间患者无尿,检测血气分析示氧合可,代谢性酸中毒逐步加重,血钾、血钠、血肌酐逐渐升高,住院第14天家属签字拔除气管插管,40分钟后患者临床死亡。部分实验室检查结果见下图。

发布于 15-03-22 21:42

5 个评论

发送