下载或打开 医联APP 查看完整评论
立即下载
打开APP
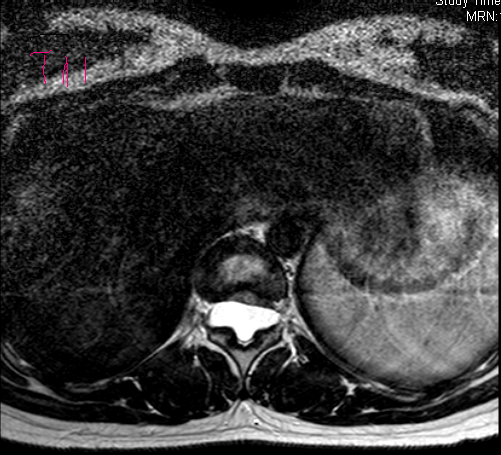
主诉:双下肢乏力4年,加重半年。 病史:患者于4年前无明显诱因出现双下肢乏力,双手支撑地面才能下蹲,无行走困难,无腰部酸痛,无双下肢疼痛、麻木感,大小二便未见异常。半年前,患者诉双下肢乏力及蹲下困难加重,难以下蹲及上下楼梯,无双下肢疼痛、麻木感,大小二便未见异常。遂至外院行MR检查提示:T11-L3水平椎管内蛛网膜囊肿,并相应脊髓圆锥、马尾神经受压移位、聚集。患者一般情况尚可。
查体:双侧踝关节呈跖屈位。腰3/4棘突有轻压痛。右踇背伸肌3-级,左踇背伸肌4级,右踝背屈肌3级,左踝背屈肌4级,右股四头肌2级,左股四头肌3级。右侧膝反射未引出(-),左侧膝反射(+),右侧踝反射(+),左侧踝反射(++),双侧踝阵挛、Babinski征(-)。双侧股神经牵拉(反Lasegue)(+),左侧4字征(+)。



诊断:胸腰椎管内占位待查 治疗:入院后尽快完善相关检查,初步明确胸腰椎管内占位原因,初步评估患者病情及是否可进行手术。经治疗组讨论后,拟后路蛛网膜囊肿切除+栓系松解+钉棒内固定术”,术后根据病理决定是否进行下一步治疗。
随访:患者术后继续住院观察一周,出院后1、3、6月门诊复查,不适随诊。