下载或打开 医联APP 查看完整评论
立即下载
打开APP
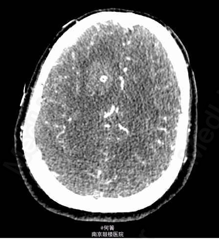
患者,女,59岁,因“突发头痛伴意识障碍4天”入院。入院前4天,患者无明显诱因突发头痛,伴有恶心、呕吐,呕吐多次胃内容物,继之出现意识障碍,呼之不应,小便失禁,无四肢抽搐,送至当地院就诊,行头颅CT示颅内出血,予侧脑室外引流穿刺及输液治疗,患者意识逐渐恢复,转至我院进一步治疗。既往高血压病史4年。
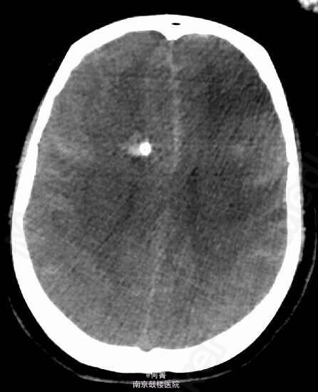
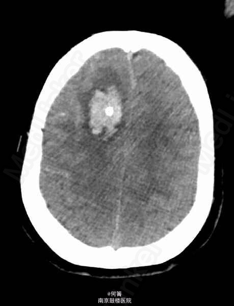
查体:BP:158/103mmHg,余生命体征平稳。专科查体:嗜睡状,呼之能应,查体欠合作;右侧额部留置有脑室外引流管,引出淡红色脑脊液;颈项强直。 辅助检查:CTA:蛛网膜下腔出血,脑室积血,右侧额叶血肿伴灶周水肿,脑实质明显肿胀,中线局部左移,右侧脑室见引流管。基底动脉瘤,其内密度不均匀,可疑血栓形成,大小约1.0x1.5cm;左侧椎动脉颅内段动脉瘤,大小约0.6x0.5cm;左侧大脑中动脉M1及M2D段交界区动脉瘤,截面大小约0.6*0.6厘米;右侧颈内动脉终段、左侧大脑中动脉M1段及椎动脉管腔不均匀,局部增粗,管壁欠光整。




诊断:1、蛛网膜下腔出血,2、颅内多发动脉瘤,3、高血压病 3级 极高危。治疗:予以抗血管痉挛、抑酸护胃、纠正低钾及对症治疗,行DSA检查,示基底动脉梭形动脉瘤;左侧小脑后下动脉起始部动脉瘤;左侧大脑中动脉分叉部膨大。行介入下动脉瘤夹闭术。
患者术后1月、3月来复查,活动如常,无头痛偏瘫等局灶性神经系统体征。能完成所有日常生活和工作。介入治疗动脉瘤现已较成熟,患者术后基本能完全恢复,只有极少数恢复不良,有动脉瘤复发再次破裂等,但总的来说,血管畸形引起的蛛网膜下腔出血,虽然症状来的凶猛,但预后良好。