打开应用

胰头十二指肠切除术后胰瘘

孙医师   中国医科大学附属盛京医院
腺癌 淋巴结反应性增生 慢性胆囊炎

主诉 病史

主诉: 皮肤黄染10天 病史:患者近10天无明显诱因出现皮肤黄染,无发热寒战,无腹痛,近3天恶心,未吐,尿色深黄,大便正常,就诊于鞍山市肿瘤医院,行腹部增强CT示:胆道低位梗阻,考虑胆总管末端占位可能性大。今为求进一步治疗来我院,门诊以“壶腹占位”为诊断收入院。病来患者睡眠饮食可,尿色发黄,大便可,体重下降约1.5kg。

查体 辅查

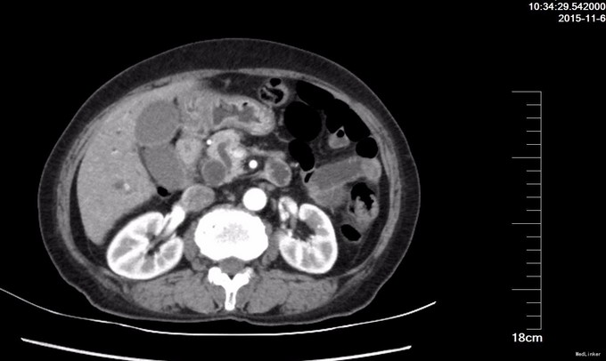
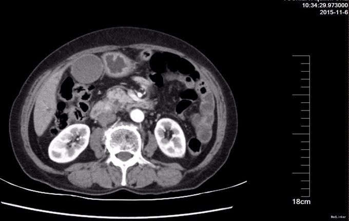
查体: T36.6℃,P78次/分,R16次/分,BP135/75mmHg,全身皮肤及巩膜黄染,无腹壁静脉曲张,未见胃肠型及蠕动波,腹部触之软,无压痛,无反跳痛及肌紧张,肝脾肋下未触及,Murphy's征(-),肝脾肾区无叩痛,移动性浊音(-),肠鸣音4次/分. 辅查: 肝功能化验总胆红素明显升高,以直接胆红素升高为主。 CT提示肝脏大小形态正常,肝内见小囊状不强化灶。肝内外胆管普遍明显扩张,胆总管管径约2.0cm。胆囊增大,肝门部胆管内见高密度结节影,约1.1cm;胰管扩张,约0.8cm,壶腹部见一软组织密度结节影,约1.6cm×1.4cm,增强扫描强化明显不均匀。 EUS:超声探头置于十二指肠球部扫查,见胰管扩张,直径约8mm,胆总管扩张,直径约23mm,胆总管末端见一低回声肿块,内部回声不均匀,大小约23x18mm。

诊断 处理

诊断: 梗阻性黄疸 壶腹占位 治疗:全麻下手术治疗,探查:肝脏於胆改变,无转移结节,腹壁及盆腔未见癌转移,切开kocher筋膜,游离十二指肠降段,显露胰头后方,触及壶腹部约2.0×2.0cm质硬肿物,界不清,胆囊增大,约8×5×5cm,胆囊管扩张,胆总管全程明显扩张,直径约2cm,术中诊断壶腹占位,行胰十二指肠切除术,术中冰冻病理证实恶性。术后病理证实(壶腹部)腺癌,高分化,CD34,D2-40及S-100染色未见明确脉管及神经侵犯,胰腺断端、胃肠断端及胆道切缘未见癌,7.8.9.12组淋巴结反应性增生(0/3),慢性胆囊炎。

随访 讨论

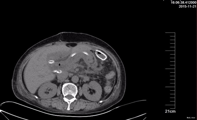
术后复查CT, 胰肠吻合口周围渗出较多,肠壁水肿,肝内胆管多发气体密度影。双侧胸腔可见液性密度影,双肺下叶膨胀不良。术后动态监测引流液淀粉酶,前5天不高,术后7天引流液淀粉酶超过1万,按照2005年国际胰瘘定义研究小组( international study group on pancreatic fistula , ISGPF) 对胰瘘的定义:术后≥3 d 起从手术放置的引流管(或以后放置的引流管或经皮穿刺引流) 中引出淀粉酶大于正常血清淀粉酶水平3 倍的液体且引流量可计,本例属于胰瘘。胰瘘既可以是胰肠吻合口瘘,也可以是来源于胰腺实质的与吻合口无关的渗漏,进一步经引流管造影,发现肠粘膜显影,提示胰肠吻合口瘘。胰瘘分为无临床症状的A级胰瘘,临床相关的B级胰瘘,导致病人腹痛、发热或血中性粒细胞升高,需要使用抗生素、全胃肠外营养(TPN)或生长抑素等治疗,还有威胁生命的C级胰瘘,需要积极使用抗生素、TPN或生长抑素,甚至需要手术或转入重症监护病房,也可能术后死亡,本病例属于最轻的A级胰瘘。胰腺术后总体胰瘘发生率20-40%,胰体尾切除后胰瘘发生率高于胰头切除术后。本例虽发生胰瘘,但是症状轻,最终术后3周愈合,拔管出院。

发布于 15-12-06 16:36

2 个评论

发送