下载或打开 医联APP 查看完整评论
立即下载
打开APP
主诉:突发呼吸困难1小时。 病史:患者一小时前无明显诱因出现突发呼吸困难,伴心慌胸闷,但无明显哮鸣音。急救人员赶到时,她正使用沙丁胺醇雾化吸入器吸入治疗中。现场急救人员初步考虑为哮喘急性加重,给予激素雾化吸入和静脉使用,但症状无好转。故急转回院接受进一步诊治,到达医院急诊时,患者呼吸困难症状进一步加重,出现呼吸暂停。即刻给予气管插管和呼吸机辅助通气。

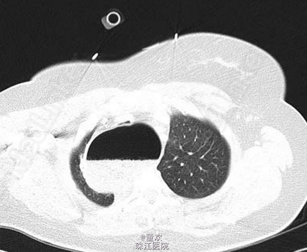
查体:双肺呼吸音较弱,右侧明显,无哮鸣音,未问及干湿性啰音。叩诊音未见明显异常。 辅助检查:胸片示右上肺透亮影;肺部 CT 示食管内有大量食物,呈显著扩张状态;严重压迫气管及气管内插管。具体图像如下。

诊断:巨食管症致呼吸暂停。 处理:给予放置鼻胃管,引流出大量胃内容物。拔管后行胃十二指肠镜检查,未发现存在梗阻。患者诊断为巨食管症,后转入一家三级医院行肌层切开术治疗。
讨论:对于类似病例,有效的急诊非常重要。追问病史发现,患者无哮喘病史,但既往明确诊断有贲门失弛缓症。患者最近几周自觉饭后常出现胸部不适及明显反流症状。虽然患者至急诊时已出现呼吸暂停,个人不能提供病史,但本病例的诊断明确显示了询问病史的重要性。