下载或打开 医联APP 查看完整评论
立即下载
打开APP
患者,女性,38 岁,突发呼吸困难,急救人员赶到时,她正使用沙丁胺醇雾化吸入器吸入治疗中。患者无吸烟史。


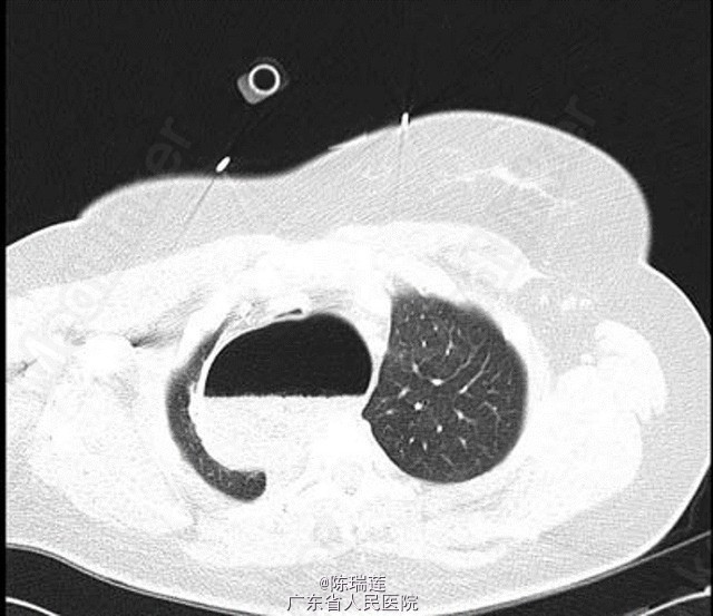
体检发现,患者呼吸急促,但无明显哮鸣音。急救人员初步考虑为哮喘急性加重,给予激素雾化吸入和静脉使用,但症状无好转。 急诊行胸片示右上肺透亮影(图 1)。 行肺部 CT 示食管内有大量食物,呈显著扩张状态;严重压迫气管及气管内插管(图 2)。拔管后行胃十二指肠镜检查,未发现存在梗阻。
诊断:巨食管症 处理:到达医院急诊时,患者呼吸困难症状进一步加重,出现呼吸暂停。即刻给予气管插管和呼吸机辅助通气。给予放置鼻胃管,引流出大量胃内容物。拔管后行胃十二指肠镜检查,未发现存在梗阻。患者诊断为巨食管症,后转入一家三级医院行肌层切开术治疗。
随访:后转入一家三级医院行肌层切开术治疗。 讨论:巨食管症导致气管受压是贲门失弛缓症的罕见临床变现。追问病史发现,患者无哮喘病史,但既往明确诊断有贲门失弛缓症。患者最近几周自觉饭后常出现胸部不适及明显反流症状。虽然患者至急诊时已出现呼吸暂停,个人不能提供病史,但本病例的诊断明确显示了询问病史的重要性。