下载或打开 医联APP 查看完整评论
立即下载
打开APP
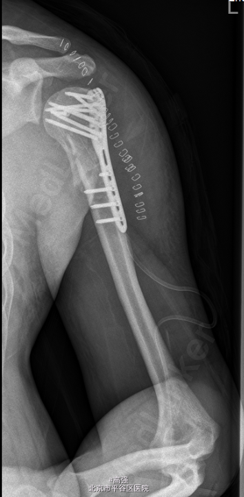
男,39岁。外伤致左肩部肿痛伴活动受限2小时。 患者于2小时前不慎外伤后,当即致左肩部剧烈疼痛,左肩关节活动受限,不能抬举,逐渐肿胀,无恶心呕吐,无其他肢体疼痛不适等,予拍片示“左肱骨近端粉碎性骨折”,为求进一步治疗,来我院就诊,予行X检查后示“左肱骨近端粉碎性骨折”,拟“左肱骨近端骨折”收住入院。
右肩关节疼痛,关节间隙压痛明显,局部肿胀,活动受限,不能抬举,外展,左肩部皮肤完整无破损,左肘关节活动尚可,无明显压痛,左桡动脉搏动可及,末梢诸指活动、感觉可,余肢体无殊。辅助检查:(2015-06-08)本院X线片示:左肱骨近端粉碎性骨折。

初步诊断: 左肱骨近端粉碎性骨折 行左肱骨骨折切复内固定术


肱骨骨折切复内固定术手术技巧有哪些?