下载或打开 医联APP 查看完整评论
立即下载
打开APP
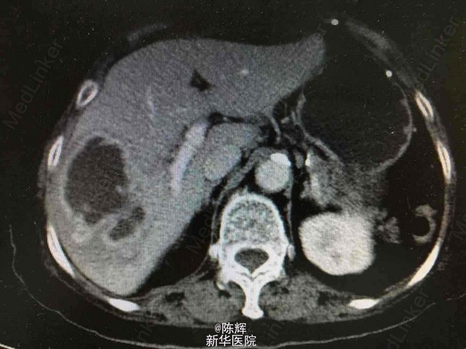
患者,女,82岁 主诉:患者无明显诱因下出现寒战,高热,体温高达41度,热型无规律,伴纳少,乏力。无腹痛、腹胀等不适。 查体:心前区无异常隆起,心率78次/分,律不齐,可闻及早搏3次/分, 心音可,未及额外心音,各瓣膜区未及病理性杂音,未及心包摩擦音。腹平软,无压痛、反跳痛及肌卫,肝脾肋下未及,移动性浊音(-),肠鸣音正常。 胸部CT平扫:右肺下页及左肺胸膜下条索影,右肺下叶背段点状钙化灶,右侧胸膜局部钙化上腹部MR平扫+增强:肝脓肿。左肾盂积水,两侧少量胸腔积液。 血常规:白细胞计数 5.50 10^9/L,红细胞计数 3.86 10^12/L|血红蛋白 123 g/L,血小板计数 163.00 10^9/L ,肝功能:谷丙转氨酶(干片法) 673.0 u/L 谷草转氨酶(干片法) 601.0 u/L|总胆红素(干片法) 196.4 umol/L 诊断:肝脓肿 治疗经过:行超声引导下肝脓肿穿刺抽液术,并留置引流管。5天后复查肝脏B超提示脓肿明显好转,予以拔除引流管。目前患者无发热,无腹痛等不适,一般情况可,予以出院。 总结:三个月后随访主诉症状好转,高龄老年患者如出现肝脓肿,还是尽早行穿刺引流,避免出现全身的脓毒血症.

