打开应用

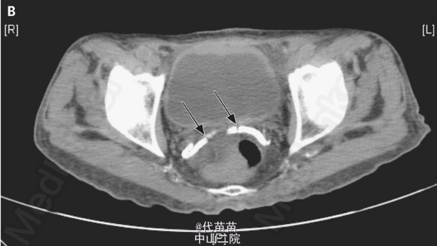
NEJM临床图片:输精管钙化

李医师   遵义医科大学附属医院

主诉 病史

60岁男性患有晚期糖尿病肾病与甲状旁腺机能亢进,为对其肾结石情况作评估进行放射线检查。结果没发现肾积水或肾结石,但双侧输精管都出现钙化。糖尿病人出现输精管钙化是常见的,可导致不育。此病例并无针对钙化的治疗,只需做好糖尿病和肾病的治疗。

发布于 15-04-07 10:48

0 个评论

暂无评论
发送