打开应用

晶状体异位

田医师   四川大学华西医院

主诉 病史

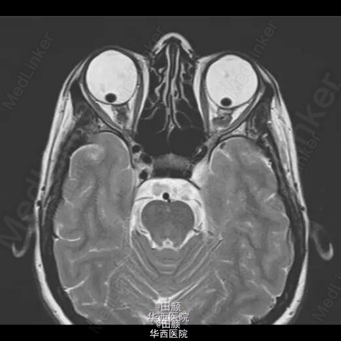
患者女,31岁,出现双眼视力渐进性下降3月,轻度感音神经性耳聋2周,马凡综合征病史。眼科检查:双眼视力OD:0.25,OS:0.05,双眼眼压正常,散瞳后裂隙灯检查检查发现双眼晶状体脱位入玻璃体腔,眼底检查发现存在视网膜变性,但未见视网膜撕裂及视网膜脱离的迹象。由于患者出现无法解释的听力下降而予以头颅MRI扫描,检查结果如下。

发布于 15-03-08 15:45

2 个评论

发送