打开应用

老年女性播散性结核感染一例

耿医师   中国医学科学院北京协和医院
结核感染

主诉 病史

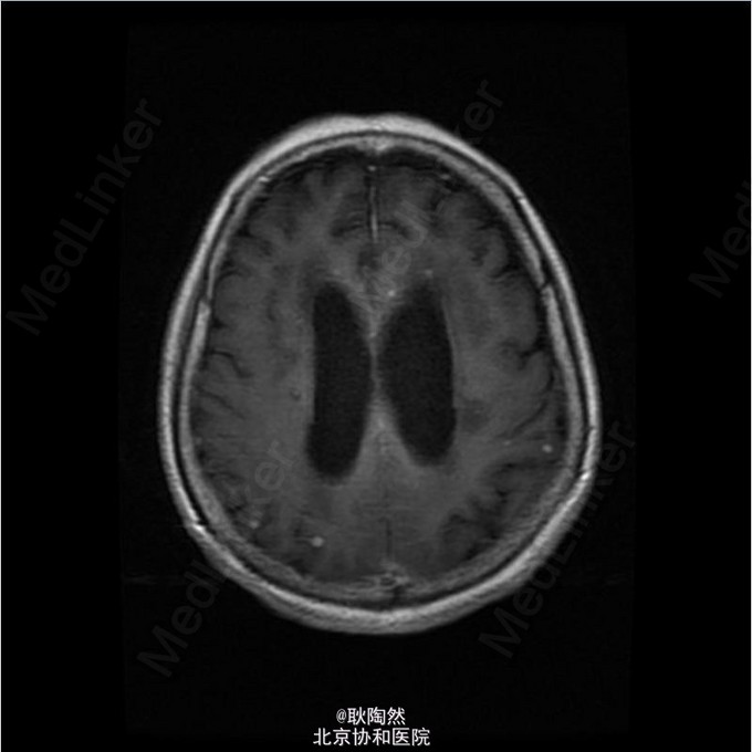
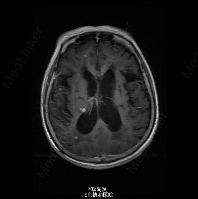
患者75岁老年女性,因“间断发热1年余,乏力、少语2周”于2014-12-25入院治疗。 2013年起患者无明显诱因出现发热,每日午后温度渐高,Tmax39℃,次日凌晨可降至正常。伴乏力,无盗汗、畏寒寒战、咳嗽咳痰等表现。外院胸部CT提示“肺部感染”,予莫西沙星治疗后体温正常。 2013-3患者出现T12椎体骨折,行手术治疗,术前有发热表现,予莫西沙星抗感染治疗后体温正常。2014-5因再次出现腰痛复诊,因前次手术窦道(左髂)迟迟未愈合,于左髂处取活检:坏死性肉芽肿,伴死骨形成,可见多核巨细胞及类上皮细胞,抗酸染色(-),不除外结核。 后患者间断发热。2014-8胸部CT示:右上肺尖后段、右中叶外侧段、左下肺外侧段散在片絮、云雾状不规则高密度灶,密度不均,提示感染;纵膈内未见肿大淋巴结。右肺病灶行肺穿活检:可见肺组织及部分横纹肌组织,肺组织变性坏死,周围小灶肉芽肿形成,纤维组织增生,慢性炎症细胞浸润,部分细胞增生。抗酸(-),PAS(-),六胺银(-)。 2014-12起患者出现神情淡漠,懒言少语,乏力加重,不能坐起或下床。遂入我科。 入我科后查PPD皮试:(+++);血T-SPOT.TB:MLC+IFN(A) 36SFC10^6MC,MLC+IFN(B) 704SFC10^6MC; 胸腹盆CT(平扫):右肺上叶后段胸膜下肿块大致同前;两上肺及右中肺粟粒样结节并两肺多发斑片索条及散在钙化灶,考虑结核性病变;两肺门多发钙化灶,纵隔多发淋巴结;双侧胸膜增厚,大致同前;胸8-腰4 椎体多发内固定器,部分椎体骨质破坏,可为椎体结核术后改变;胸11-腰3 椎体左旁多发低密度影并环形强化,考虑椎旁脓肿;骶骨前方、直肠后方片状低密度影,渗出性改变不除外。 行腰穿:脑脊液压力为88mmH2O。脑脊液常规:外观 无色透明,细胞总数 12*10^6/L,白细胞总数 0*10^6/L,单核 0,多核 0;脑脊液生化:CSF-Pro 0.76g/L,CSF-Cl 115mmol/L,CSF-Glu 1.5mmol/L。脑脊液抗酸染色(-)、脑脊液结核、非结核分枝杆菌DNA(-);脑脊液T-SPOT.TB:MLC+IFN(A) 24 SFC10^6MC,MLC+IFN(B) 132 SFC10^6MC;脑脊液细胞学:结论:淋巴细胞性炎症,WBC 1000/0.5ml,AL 阳性(+),AM 阴性(-),PC 阴性(-),TC 阴性(-),RBC -,CL ++,LY% 90%,MONO% 5%,NEUT% 5.000%; 考虑患者为播散性结核感染,有肺、骨、中枢神经系统受累。予异烟肼、利福喷丁、乙胺丁醇、拜复乐四联抗结核治疗。

发布于 15-02-14 13:05

0 个评论

暂无评论
发送