下载或打开 医联APP 查看完整评论
立即下载
打开APP
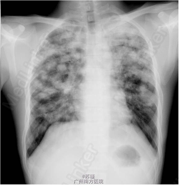
男,33岁,因反复咳嗽半年余,发热2个月入院, 患者半年前感冒后开始出现咳嗽,以干咳为主,清晨咳嗽较多,同时伴有乏力、盗汗。无痰,无发热,无咯血、无胸闷、气促等不适。 2个月前患者开始出现发热,,以午后发热多见,体温最高达38.5℃,未予特殊处理体温可自行降至正常,同时伴有乏力、盗汗及气促,可平卧,无胸痛、咯血、无胸闷,无腹痛、腹泻,无恶心、呕吐,遂再次到当地医院就诊,查胸片见双肺散在结节影,予收入院治疗 气管镜抗酸杆菌(+)
