下载或打开 医联APP 查看完整评论
立即下载
打开APP
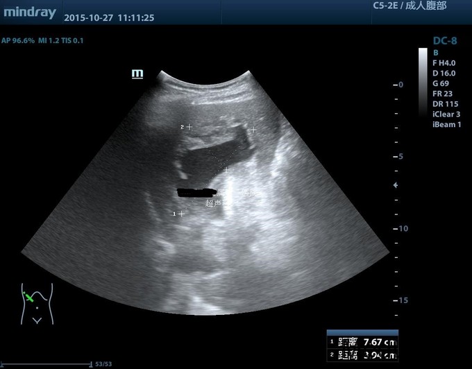
老年男性患者,1年前因腹部膨隆查腹部B超发现肝囊肿,最大直径约21cm,于香港门诊治疗,建议密切随访。近期诉腹胀较前加重,超声示囊肿较前增大。患者无腹痛,无返酸,无发热、黄疸,无呕血,无黑便。既往高血压病20余年,服药控制良好。现为进一步手术治疗入院。
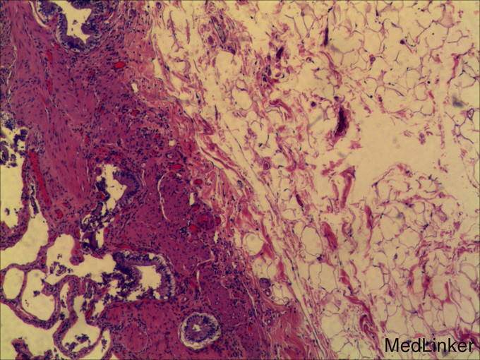
查体: 皮肤黏膜无黄染及苍白,腹部膨隆,腹肌软,未触及肝脏肋下缘,无肝震颤。 辅查: 1.腹部CT:1.肝内多发囊肿,其中右叶可见巨大囊肿。 2.胆囊结石。 3.右肾小囊肿;左肾小结石。 2.术后病检: 1(胆囊)送检5.5x2x1cm组织一块,内见结石。镜下:慢性胆囊炎,胆囊结石。2(囊壁)送检直径6cm囊壁样组织一块,囊壁厚0.1cm。 镜下:送检纤维囊壁样组织,部分囊壁披覆单层上皮,局部囊壁可见少量肝组织,病变符合肝囊肿。



诊断:1.肝内多发囊肿 2.胆囊结石 治疗:完善术前准备,未见明显禁忌,且患者强烈要求美观、微创,遂决定在气管内麻下行机器人辅助下肝囊肿开窗引流+囊肿切除+胆囊切除术。手术过程顺利,术中病情平稳。术后安返病房,给予禁食、心电监护、吸氧、肠外营养、止血等对症支持治疗。
术后患者有一过性肝功能异常,表现为转氨酶升高,胆红素未见明显异常,考虑手术及囊肿压迫所致;后经过对症处理逐渐恢复正常。肝囊肿属良性病变,需与肝包虫病、肿瘤相鉴别,尤其当囊液发生感染、出血、机化等继发性变化,很容易与上述疾病混淆。