下载或打开 医联APP 查看完整评论
立即下载
打开APP
患者,男,69岁,4年前无明显诱因出现便血,表现为便后滴血或粪便表面含鲜血,每日1次或每2-3日1次,便血量少,每次量约5-10ml,无肛门疼痛,无腹痛、腹胀,无头晕、乏力、面色苍白,无呕吐、发热等不适,未诊治。近2年来排便次数增加至3-6次/日不等或每于进食时出现便意,血便为主,每次量约50ml,无头晕、乏力,无腹痛、腹胀等。2月前出现脐周不适,伴便血频繁,6-10次/日,每次量约80ml,感头晕、乏力,无胸闷、胸痛、心悸,无目黄、尿黄等不适。
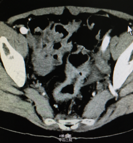
外院肠镜:距肛门口5-15cm直肠环周菜花状物,质地脆,易出血,近端可见多发小息肉。外院病理提示直肠癌,予以洛铂+氟尿嘧啶+左亚叶酸钙两次化疗,化疗过程顺利。我院CT:1、直肠中上段及乙状结肠远端肠管管壁不均匀增厚,管腔稍狭窄,可符合直肠癌改变;邻近淋巴结肿大,考虑为转移性;2、肝内多发类圆形低密度影,考虑囊肿;3、左肾多发低密度影,考虑囊肿可能性大;4、腹主动脉及双侧髂动脉硬化;5、心腔密度减低,考虑贫血。
术前未见绝对手术禁忌,在全麻下行腹腔镜直肠前切除术+末端回肠造口术,术程顺利。术后病理报告:直肠中分化癌 ,累及肠壁全层并突破浆膜层;2、送检吻合口及自检双侧切缘未见癌残留;3、淋巴结及自检淋巴结均未见癌转移。







2周后返院评估是否行化疗
