下载或打开 医联APP 查看完整评论
立即下载
打开APP
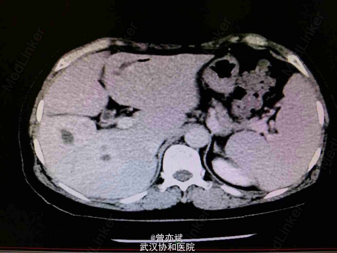
患者,女64岁,“发热两周”,患者两周前无明显诱因出现发热,体温最高达40摄氏度,伴畏寒寒战,发热无明显规律。发热时伴头痛,热退后头痛缓解。伴干咳无痰,伴乏力,恶心,呕吐为胃内容物。伴腰痛腹胀,无尿频尿急腹泻。于当地医院行抗感染治疗(头孢哌酮,左氧氟沙星),仍持续发热。入院完善相关检查,腹部增强CT如图示,多患者,女64岁,“发热两周”,患者两周前无明显诱因出现发热,体温最高达40摄氏度,伴畏寒寒战,发热无明显规律。发热时伴头痛,热退后头痛缓解。伴干咳无痰,伴乏力,恶心,呕吐为胃内容物。伴腰痛腹胀,无尿频尿急腹泻。于当地医院行抗感染治疗(头孢哌酮,左氧氟沙星),仍持续发热。入院完善相关检查,腹部增强CT如图示,多考虑肝脓肿,拟外科手术治疗。

