打开应用

髌骨骨折(髌骨爪➕克氏针应用)

高医师   许德全中医医院
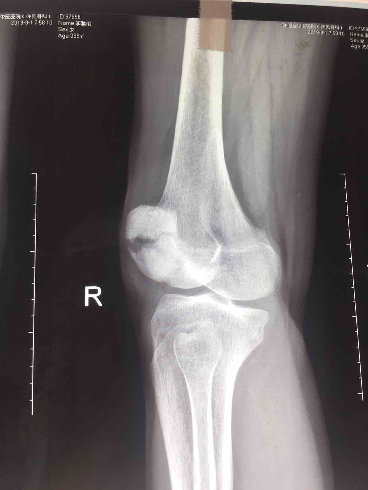
骨折 髌骨骨折

主诉 病史

摔伤后右膝部肿痛,活动受限1小时入院。既往身体健康,无特殊不良嗜好。

查体 辅查

生命体征平稳,心肺复未见异常。右膝部肿胀明显,皮色微红,皮温高,可及骨檫音及骨折断端,压痛明显,伸膝关节受限,末梢血运感觉正常。

诊断 处理

诊断右髌骨骨折在腰麻下行切复内固定术,术后抗炎,消肿等处理。

发布于 19-08-02 12:15

0 个评论

暂无评论
发送