打开应用

髌骨骨折切开复位克氏针张力带内固定

叶医师   泉州市正骨医院
骨折 髌骨骨折

主诉 病史

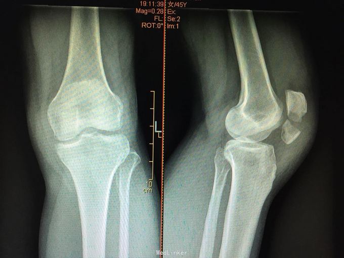
摔伤致左膝部肿痛活动受限2小时。 46岁女性,行走时不摔摔伤,左膝跪地

查体 辅查

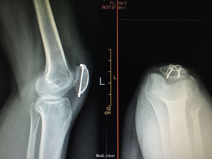
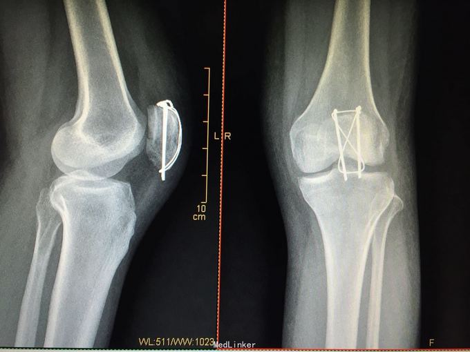
诊断 处理

左髌骨骨折 急诊行切开复位克氏针张力带内固定术

随访 讨论

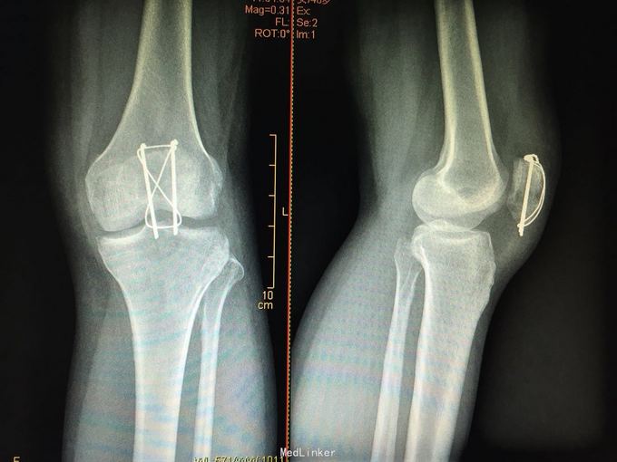
术后1年骨折已愈合、功能良好,予取出内固定。 讨论 髌骨骨折除了经典克氏针张力带,大家还做那些术式及内固定,术后如何行功能锻炼

发布于 15-11-05 18:19

1 个评论

发送