下载或打开 医联APP 查看完整评论
立即下载
打开APP
打开应用
过小牙,牙齿拥挤
振兴用户
振兴口腔
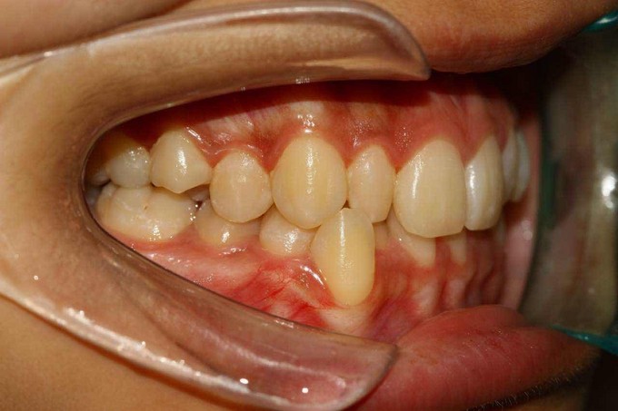
主诉 病史
患者:女,18岁,主诉:上下颌牙齿不齐,要求排齐。 检查:上颌12,22为过小牙,下颌II度拥挤。
发布于 15-09-30 12:56
医联推荐你看
牙齿拥挤的矫治
牙齿拥挤,正畸
牙齿重度拥挤
共
0
个评论
暂无评论
发送
0