打开应用

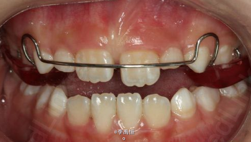
双曲舌簧HE垫矫治器

阴助教   暨南大学附属第一医院

主诉 病史

适应大多数乳牙反HE患者,双曲舌簧可以用0.014英寸的不锈钢丝弯制,教科书上是用0.5mm技工用不锈钢丝弯制,但是用0.5mm技工用不锈钢丝弯制的双曲舌簧在临床上很易折断,且力值偏大。

发布于 15-06-22 23:27

0 个评论

暂无评论
发送